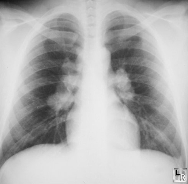
Olgu: 34 yaşında, 1. Sınıf tıbbi sertifikası olan siyahi pilot. Bir hava kargo şirketinde çalışıyor. 6 haftadır devam eden öksürük, dispne, kilo kaybı, miyalji ve kırgınlık şikâyetleri var. Hastalığı birinci basamak hekimi tarafından reçetelenen çeşitli antibiyotik rejimlerine direnç göstermiş ve Şubat 1996′da konsültasyon için göğüs hastalıkları uzmanına yönlendirilmiş. Fizik muayenesi, her iki akciğerin bazallerinde rallerin duyulması dışında normal limitlerde. Kardiyolojik muayenede, nabız sayısı normal, ritmi düzenli bulunmuş, anormal kalp sesine rastlanmamış. Cilt lezyonları yok. Ekokardiyogram normal sınırlarda, ejeksiyon fraksiyonu %60. EKG normal. Göğüs filminde hiler lenfadenopatileri ve parankimde pulmoner infiltrasyonları var. Fiberoptik bronkoskopi ve trakeobronşiyal biyopsi, mantar ve bakteriler yönünden negatif olan, sarkoidozla uyumlu nonkazeöz granülomlar ortaya koymuştu. Solunum fonksiyon testlerinde (SFT) zorlu vital kapasite (FVC) 2,4 L (beklenen değerin %51′i) ve FEV1 2,63 L (beklenen değerin %58′i) idi. 40 mg prednizon, öksürüğü ve eforla gelen dispneyi hemen hemen kesmişti. Sonraki 4 ayda hastaya uygulanan oral prednizon tedavisi, semptomlarına göre azaltılarak devam etti.
4 ay sonra (Haziran 1996′da) tekrarlanan SFT’de, FVC 4,76 L (beklenen değerin %63‘ü) ve FEV1 3,84 L (beklenen değerin %70′i) idi. Oda havasında oksijen satürasyonu %97 olup, egzersizle çok az dispnesi vardı. 1 yıl sonra, FAA’ne pulmoner fonksiyonlarının belirtilmesi nedeniyle, sadece uçuş mühendisliği ile ilgili görevleri yapmakla sınırlandırılan, geçerliliği 6 ay olan, 2. sınıf uçuş sertifikası aldı. Kasım 1996′da tekrar başvurması üzerine SFT’nin tekrarlanması gerekli görüldü. Bu sırada FVC ’si 2,67 L (beklenen değerin %56’sı) ve FEV1′i 2,36 L (beklenen değerin %62’si) idi. İkinci bir 6 aylık özel koşullu uçuş sertifikası (waiver) verildi. Sonrasında ise 6 aylık sertifika daha verildi. Mart 1998′de hasta, 2. sınıf uçuş sertifikasını yenilemek için başvurdu. Başvurusuna eklenen SFT’nde, FVC 2,38 L (beklenen değerin %51′i) ve FEV1 2,09 L (beklenen değerin %55‘i) idi. Bu durum 10-20 mg arasında değişen oral prednizon ve uzun etkili beta agonist bronkodilatör tedavisine rağmen, hastalığın başlangıcından itibaren SFT’nde bir gerilemeyi gösteriyordu. FAA: Bölüm 67/401′deki uygulamaların Kod-14 gereği hastanın başvurusu reddedildi.
Sarkoidoz, güvenli bir uçuş ile havacılık görevlerininin yerine getirilmesiyle bağdaşmayan klinik özellikler ve semptomlara sahiptir. ABD’de zencilerde beyazlardan 10 kat daha yaygındır. İskandinav kökenlilerde de hastalığın insidansı yüksektir. Kadınlar hastalığa erkeklerden daha fazla yakalanmaktadır ve hastalığın başlangıcı sıklıkla 20-45 yaşları arasındadır. Sarkoidozda miyokardın tutulumu, uçucu personelin uçuş sırasında gerekli görevleri yerine getirememesinden, ani ölümüne kadar çeşitli istenmeyen etkilere yol açabilir. 250 sarkoidoz hastası birkaç yıl takip edilmiş ve şu komplikasyonlar rapor edilmiştir: Tam kalp bloğu (49), prematür ventriküler atımlar ve ventriküler taşikardi (48), ani ölüm (37), dal bloğu (33), miyokardit (43), supraventriküler aritmiler (23), kalp kapak hastalıkları (21) ve perikardit (6). Sarkoidozun pulmoner bulguları da uçucu personelin etkinliğini sınırlandırmaktadır. Tıbbi tedaviye rağmen FVC ve FEV1′deki azalmalar sarkoidoza eşlik edebilir. Günümüzün FAA tıbbi standartları, FVC ve FEV1 değerlerinin beklenen değerin %50’sinden az olmamasını gerektirmektedir. Ek olarak oral prednizonun kesin üst sınırı 20 mg/gün’dür. Bir çok uçucu personel bu nedenlerden dolayı tıbbi havacılık sertifikasından diskalifiye edilmektedir. Bu pilotun 2. sınıf tıbbi sertifikası, sağlık durumunun havacılık görevlerinin güvenle yerine getirilmesini engelleyeceğine vurgu yapılarak, (FAA: Bölüm 67/401; Kod-14′e göre) geri alınmıştır. Özellikle kötüleşen FEV1/FVC ölçümleri ve izin verilen en yüksek orandaki Prednizon dozunun kullanılması tıbbi sertifikasyunun reddedilmesinde vurgulanmıştır.
Klinik Bulgular: En yaygın klinik belirti, özellikle genç erişkinlerde hastaların %50’sinde olan ve sıklıkla rutin akciğer grafisinde saptanan bilateral hiler lenfadenopatidir. Yaklaşık %25′i bilateral hiler lenfadenopati ve pulmoner infiltrasyonlarla, %15′i tek başına infiltrasyonla görülür. Akciğer hilumundaki hastalık, bronşların invazyonu veya kompresyonuyla ya da nodal kalsifikasyonla ilişkili değildir. Eritema nodozum veya üveit (kırmızı ve sulanmış göz) ile kendini gösterir; hiler adenopatiye eşlik edebilir. Bazı hastalarda öksürük, nefes darlığı, wheezing ve göğüste rahatsızlık hissi, (bu pilotta olduğu gibi) ateş, kırgınlık ve yorgunluğa ek olarak görülebilir. Pulmoner semptomlar en sık olmasına rağmen, hepatomegali, splenomegali veya üveit gibi toraks dışı organ hastalığı da görülebilir. Diğer başvuru nedenleri; sebebi bilinmeyen ateş, granülomatöz hepatit, artrit, periferal lenfadenopati ve cilt lezyonlarıdır.
Tedavi: Sarkoidozda tedavinin amaçları, semptomların giderilmesi ve organ fonksiyonlarındaki önemli bozulmaların önlenmesidir. Temel tedavi, sistemik kortikosteroid tedavisidir. Elde edilen çalışmalardan ortaya çıkan görüş; tedavinin sadece semptomatik, ya da aktif pulmoner hastalığı olan hastalara yapılmasıdır. Bu olgu sunumundaki pilot bu kriterlere uymaktadır ve semptomları hafifletmek için günde 10-20mg oral prednizon tedavisine devam etmektedir.
Kaynak: Trey Milligan. Sarcoidosis. The Federal Air Surgeon’s Medical Bulletin, 2007 Vol.45 No3:10-11
Çeviri: Dr. Kerem Erkalp, Dr. Haluk Özdemir, (Vakıf Gureba Eğitim Hastanesi, I.Anesteziyoloji ve Reanimasyon Kliniği, İstanbul)























Son Yorumlar