Dekompresyon Hastalığı (DKH), hem dokularda inert (asal) gaz kabarcıkları oluşumunun neden olduğu dekompresyon rahatsızlığını, hem de ani bir dekompresyonda akciğerlerde hava sıkışması ve alveol yırtılması sonucunda damar içine gaz girmesiyle oluşan damarsal gaz embolisini içerir.
Koroner gaz embolisi, uçucularda düşük basınç ortamına maruz kalındığında görülebilir. Atmosfer basıncındaki hızlı düşüşlerde dokularda ve damarlarda açığa çıkan azot gazı kabarcığının (bubble) boyutu dış basınç düştükçe artar; ancak klinik bulgu vermeyen “sessiz kabarcıklar” da vardır. Bunlar dolaşımda 3 güne kadar kalabilmekte ve bu sürede emboli riski devam etmektedir. Uçuşta veya sonrasındaki 72 saat içinde ani başlayan göğüs ağrıları, sol kol uyuşmaları, bayılma, bilinç bulanıklığı gibi belirtiler kalp dekompresyon hastalığının habercisi olabilir. Böyle bir durumla karşılaşıldığında öncelikle damar sertliğine bağlı tıkayıcı kalp damar hastalığı düşünülür ve koroner anjiyografi planlanır, halbuki koroner gaz embolisi tanısı konursa, kişinin acilen yüksek basınçlı oksijen tedavisine alınması ile yaşamı kurtarılabilir.
ABD Hava Kuvvetleri uçucularında yapılan araştırmalarda, 1988-1992 yılları arasında 38 kalp olayı tespit edilmiş olup, bunların 23’ü kalp krizi, 7’si angina pectoris ve 8’i ani kalp sebepli ölüm olarak kayıtlara geçmiştir. Bunların ne kadarının olağan kalp damar hastalığı, ne kadarının DKH olduğu belirtilmemiştir (1).
Başka bir çalışmada yüksek irtifaya maruz kalan gönüllülerde ultrasonik tekniklerle atardamar ve toplardamarlardaki hava kabarcıkları ve gaz embolisi araştırılmıştır. Göğüs duvarından ve ösofagus yoluyla yapılan kalp ultrasonu ile 6 vakada sağ ve sol kalp gaz embolisi tespit edilmiş ve bunların 3’ünde herhangi bir kalp defektinin olmadığı, 3’ünde patent foramen ovale, 1’inde de sinüs venosus olduğu, sadece 5’inin hastalık belirtileri verdiği anlaşılmıştır (2).
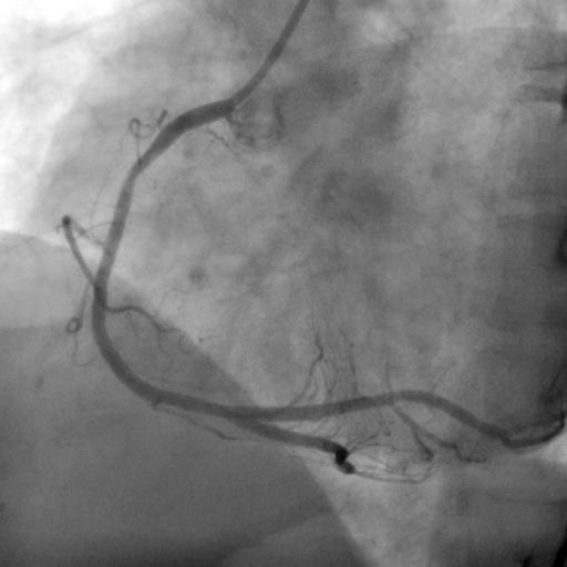
Eskişehir Hava Hastanesinde alçak basınç (hipobarik çember) eğitiminden yaklaşık 24 saat sonra, genç bir jet pilotunda koroner gaz embolisine bağlı kalbin alt ve yan duvarını tutan bir kalp krizi gelişimi izlenmiştir. Bu pilotun EKG’sinde MI bulguları görüldükten sonra hemen hiperbarik oksijen tedavisine alınmış ve belirtilerin süratle düzelmesi nedeniyle tanının kalp DKH olduğu sonucuna varılmıştır (3).
DKH kliniği, ya kabarcıkların mekanik etkilerine ya da kan-kabarcık etkileşimine bağlı olarak gelişir. Doku içinde oluşan kabarcık sinir uçlarına bası yaparak ağrıya neden olurken, komşu dokuları da sıkıştırıp hasara yol açar. Kabarcıklar kaybolduktan sonra bile devam eden “post-exposure” semptomlarının nedeni bu doku travmasıdır. Kabarcıkların diğer bir mekanik etkisi de, damarlarda mekanik tıkanma yaparak uç bölgelerde kan akımının azalması ya da kesilmesidir.
Sonuç: DKH denizcilerin olduğu kadar havacıların da sorunudur ve nadir de olsa, kliniğe kalp krizi görünümünde yansıyabilir. Tedavinin esası rekompresyon’dur ve hastanın en kısa sürede hiperbarik oksijen tedavisine alınması yaşamsal önemdedir.
Kaynaklar:
1. Osswald S, Miles R, Nixon W, Celio P. Review of cardiac events in USAF aviators. Aviat Space Environ Med. 1996;67:1023-7
2. Pilmanis AA, Meissner FW, Olson RM. Left ventricular gas emboli in six cases of altitude-induced decompression sickness. Aviat Space Environ Med. 1996;67:1092-6
3. Ozturk C, Sen A, Akin A, Iyisoy A. Cardiac decompression sickness after hypobaric chamber training: case report of a coronary gas embolism. Anadolu Kardiyol Derg. 2004 Sep; 4(3):256-8
Hazırlayanlar: Dr. Cengiz Öztürk, Dr. Ahmet ŞEN























Son Yorumlar